「医療法人社団 博愛会」ブログ
マウスピース矯正をドクターが解説
インビザライン症例ご紹介③
インビザライン(マウスピース)矯正の症例をご紹介いたします。
【マウスピース矯正を希望した理由】
10歳女性、混合歯列期と呼ばれる乳歯から永久歯へと生え変わる時期で、永久歯の歯並びをキレイにしたいと矯正治療を希望されました。
【治療方法】
ワイヤー矯正1年8ヶ月とマウスピース矯正9ヶ月
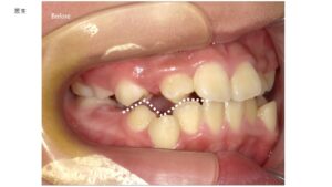
【Before】

上下顎とも歯が並ぶスペースが不足している叢生と呼ばれる状態でした。
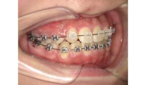
【治療途中】ワイヤー矯正1年8ヶ月後

【治療説明】
上下左右の永久歯を4本抜歯して歯が並ぶスペースを確保しました。
月に1回程ワイヤーを調整して、1年8ヶ月後、前歯が並んで1期治療(混合歯列期)は終了しました。
矯正治療中は口腔の自浄作用が低下します。年齢が10代の時は、特に虫歯菌の活動が活発で虫歯になりやすいので、月に1回くらいはワイヤーを外して、担当の歯科衛生士がブラッシング指導や、歯石とり、歯面研磨を行いました。
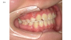
【After】マウスピース矯正9か月後

【治療説明】
もう1年程度、ワイヤー矯正を続けて臼歯部の噛み合わせを治していく予定でしたが、患者様が運動系の部活動でワイヤーだと口の中を怪我するかもしれない不安があるとのことで2期治療(永久歯列期)はマウスピース矯正で行うことになりました。
1週間に1回マウスピースを交換して歯を少しずつ動かしました。必要部位はIPR(歯
と歯の間を0.2〜0.5ミリ削る)をしました。アタッチメントという白いプラスチックの
タンのようなものを何箇所かの歯につけています。
【副作用(リスク)】
一日20時間以上マウスピースを装置する必要があります。決められた順番と期間でマウスピースを交換しないと、予想通り歯が動かなかったり、時間がかかる場合があります。マウスピースを片手で乱暴に外すと歯を痛めることがあります。
【費用(税込)】
1期治療(混合歯列期)
精密検査料 33,000円※キャンペーン中で無料
装置代 330,000円
調整料 3,000円×13回 39,000円
2期治療(永久歯列期)
精密検査代 33,000円※キャンペーン中で無料
インビザライン装置 330,000円
調整料 5,500×5回 22,000円
リテーナー 33,000円
合計 754,000円
【治療期間】
2年5ヶ月



