「医療法人社団 博愛会」ブログ
マウスピース矯正をドクターが解説
インビザライン症例ご紹介⑧
投稿日:2023.09.22
インビザライン(マウスピース)矯正の症例をご紹介いたします。
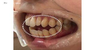
【Before】

【After】

【マウスピース矯正を希望した理由】
女性 20代
結婚式があり、歯並びを綺麗にしたいとご希望。
咬合が第一大臼歯と第二大臼歯でしか咬合されておらずオープンバイトであった。
【治療方法】
インビザラインフル
【治療説明】
マウスピース矯正治療中は口腔内の自浄作用が低下するので、定期検診にブラッシング指導、歯石とり、歯面研磨を行い、虫歯や歯肉炎、口臭の予防処置を歯科衛生士が行っていきます。
1週間に1回マウスピースを交換して歯を少しずつ動かしました。必要部位は、IPR(歯と歯の間を0.2~0.5mm削る)をしました。アタッチメントというプラスチックのボタンのようなものを何箇所かの歯につけていきます。
この患者様は5枚目から26枚目まで更に強い力で安定した噛み合わせや歯が倒れないようにするために、マウスピースの切れ込みにゴムを引っ掛けて上下の歯を引っ張る顎間ゴムを使用しました。
【副作用(リスク)】
1日20時間以上マウスピースを装着する必要があります。決められた順番と期間でマウスピースを交換しないと、予想通り歯が動かなかったり、時間がかかる場合があります。マウスピースを片手で乱暴に外すと歯を痛めることがあります。
【費用(税込)】
精密検査代 33,000円
装置代 736,780円
調整料 5,500円×20回=110,000円
リテーナー 33,000円
合計 912,780円
【治療期間】
1年5ヶ月



