「医療法人社団 博愛会」ブログ
マウスピース矯正をドクターが解説
インビザライン症例ご紹介No,18「上の前歯の隙間が気になる」
投稿日:2026.02.09
インビザライン(マウスピース)矯正の症例をご紹介いたします。
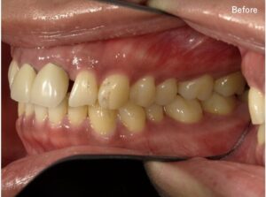
Before

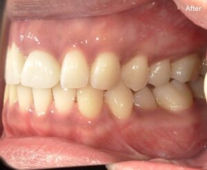
After

【マウスピース矯正を希望した理由】
・20代 女性
主訴 上の前歯の隙間が気になる。
【治療方法】
インビザライン GO
セラミック治療(e-max Cr)
【治療の説明】
マウスピース矯正は口腔内の自浄作用が低下するので定期検診にブラッシング指導・歯石とり・歯面研磨を行い、虫歯や歯周炎、口臭の予防処置を歯科衛生士が行なっています。
一週間に一回マウスピースを交換し、歯を動かしました。スペースの関係上、IPR(歯と歯の間を0.2〜0.5mm削る)をして、アタッチメントというプラスチックのボタンのようなものを何ヶ所か付けました。
下の前歯をもう少し並べたいのと噛み合わせの左右差をなくすために追加アライナー#1~20をしました。
上顎1〜1の保険のかぶせものはe-maxInの治療を行いました。
【副作用(リスク)】
一日20時間以上マウスピースを装着する必要があります。
決められた順番と期間でマウスピースを交換しないと予想通りに歯が動かなかったり、時間がかかる場合があります。マウスピースを乱暴に外すと歯を痛めることがあります。
【費用(税込)】
精密検査代 0円(キャンペーンにより)
装置代 455,000円
調整料 初回:5,500×5回=27,500円
追加:5,500×5回=27,500円
リテーナー代 33,000円
e-max Cr×2本=159,600円
合計 702,600円
【治療期間】
治療期間 1年3ヶ月10日



