むし歯や歯周病がある状態で
マウスピース矯正をすると…
- むし歯が進行する
- 歯がグラグラする
- 歯ぐきが下がる
- かみ合わせが悪くなる
など、症状が悪化する場合があります。
そのため、当院では、
矯正治療を開始する前に
1本、1本の歯の状態を調べることが
必須だと考えています。
むし歯や歯周病など
トータル的に口腔内の治療もすることができ、
一人一人に合せた最適な矯正治療を提供することが可能です。
歯医者の選び方
| 矯正専門 | 総合歯科(当医院) | |
|---|---|---|
| 歯周病治療 | × | ◎ |
| 治療のための抜歯 | × | ◎ |
| 矯正のための抜歯 | × | ◎ |
| マウスピース矯正 | ◎ | ◎ |
むし歯や歯周病、抜歯の治療はしておらず
他の歯医者を紹介しています。
しっかり治してから矯正治療を始められる
総合歯科「博愛会の歯科医院」をぜひお選びください。
矯正専門歯科ではなく
総合歯科の当院で
マウスピース矯正をする理由
- 当院は矯正だけでなく、必要に応じて歯周病や虫歯治療、抜歯などの総合的な歯科治療も受けられます。
- 国家資格を有した歯科衛生士の、むし歯や歯周病のチェック、ブラッシングのアドバイスなども受けながら、マウスピース矯正を進めていくことができます。
- 口腔内スキャナー(アイテロ)使用で、不快な型とりが不要で、無料のシミュレーションも即日行えます。
- 矯正治療が終わった後も、むし歯、歯周病の定期検診やお口のメンテナンスしながら、きれいな歯並びを保つお手伝いをさせていただけます。
- CTを完備しており3Dデータをもとに高度な診断も可能。
- マウスピース矯正の他にもセラミック治療、ホワイトニングやインプラントなど、患者様に合ったオーダーメイドの治療を提案できます。
- 札幌市内地下鉄駅の南平岸駅、平岸駅、栄町駅の徒歩1分以内の3ヶ所に歯科医院があり、仕事帰りや学校帰りの通院に大変便利です。

医療法人社団博愛会/理事長
今井 崇博(いまい たかひろ)
- 北海道大学歯学部卒
- アイビー歯科クリニック開業
- 平岸駅前こまち歯科開業
- 栄町駅前こゆき歯科開業
- 南平岸グラーノデンタル開業
- インビザライン認定ドクター
- 日本歯周病学会 会員
- 日本ヘルスケア学会 会員
- 日本口腔インプラント学会 専修医
- 日本アンチエイジング歯科学会認定医
- 歯科医師臨床研修指導医
- 札幌市立平岸中学校学校医
「医療法人社団 博愛会」
マウスピース矯正(インビザライン)の紹介動画

金属を使わないのでワイヤー矯正にくらべて目立たない

食事の時など取り外しが可能、いつも通り歯磨きもできて衛生的

ワイヤー矯正に比べて、痛みや違和感が少ない

接触型のスポーツや、口を使う楽器の演奏時も影響が出にくい

通院回数が少なくて済む(1〜3ヶ月に1回)

金属アレルギーの方も安心

同時にホワイトニングもできる

治療の過程を専門のデジタル機器を用いてシミュレーションできる
歯並びの影響でこのようなことが
起こる場合があります
- 見た目が気になる。
- 歯磨きがきちんとできない
- 第一印象を良くしたい。
- 口臭が気になる
- 笑顔に自信が持てない。
- 食事がしっかり噛めない。
- 顎が痛い
- 胃腸の調子が悪い、太りやすい
- 片頭痛
- 食いしばり
- 顎関節症
- 歯ぎしり
- 肩こり
- いびき
- 顔の筋肉の疲れ
- 姿勢が悪いと言われる
「医療法人社団 博愛会」のマウスピース矯正
初回無料相談をお申込みください
今なら、
歯並びシミュレーション無料!
矯正治療前と後の歯並びを
3Dでシミュレーションできます。
『部分的に矯正したい。』
『昔、矯正治療をしたが戻ってしまった。』
などにも対応しています!

治療を受ける際の注意点
正しい装着方法で1日20時間以上使用しないと治療期間が延長したり、まれに歯根吸収や歯肉退縮が起こる可能性があります(事前にしっかりと検査診断します。)
「医療法人社団 博愛会」のマウスピース矯正
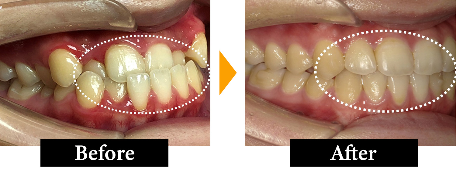
当院のマウスピース矯正の実績
マウスピース矯正を希望した理由
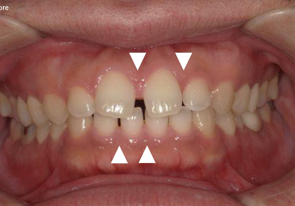
20代女性、上顎前突(出っ歯)が気になる、ということでマウスピース矯正をすることになりました
- 治療方法
- インビザライン
- 治療の説明
- 1週間に1回マウスピースを交換して歯を少しずつ動かしました。 全部で3箇所IPR(歯と歯の間を0.3ミリ削る)しました。 また、アタッチメントという白いプラスチックのボタンのようなものを何箇所かの歯につけています。マウスピースは全部で20枚でした
- 副作用(リスク)
- 一日20時間以上マウスピースを装置する必要があります。決められた順番と期間でマウスピースを交換しないと、予想通り歯が動かなかったり、時間がかかる場合があります。マウスピースを片手で乱暴に外すと歯を痛めることがあります
- 費用(税込)
- 精密検査:33,000円
インビザライン装置:407,880円
調整料:5500×5回=27,500円
リテーナー:45,000円
合計:513,380円 - 治療期間
- 6ヶ月
マウスピース矯正を希望した理由
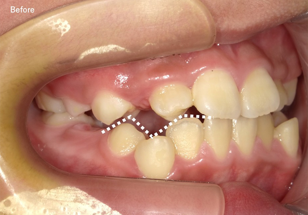
20代女性、反対咬合(受け口)が気になる、ということでマウスピース矯正をすることになりました
- 治療方法
- インビザライン
- 治療の説明
- マウスピース矯正の前に、ブラッシング指導、歯石とりなどの歯周病治療を行いました。マウスピース矯正中も歯周病治療を継続しましたところ、歯肉の状態も改善しました。
また、虫歯があった親知らずの抜歯をしております。
1週間に1回マウスピースを交換して歯を少しずつ動かしました。全部で3箇所IPR(歯と歯の間を0.3ミリ削る)しました。また、アタッチメントという白いプラスチックのボタンのようなものを何箇所かの歯につけています。マウスピースは全部で53枚でした - 副作用(リスク)
- 一日20時間以上マウスピースを装置する必要があります。決められた順番と期間でマウスピースを交換しないと、予想通り歯が動かなかったり、時間がかかる場合があります。マウスピースを片手で乱暴に外すと歯を痛めることがあります
- 費用(税込)
- 精密検査:33,000円
インビザライン装置:737,880円
調整料:5500×10回=55,000円
リテーナー:0円
合計:825,880円 - 治療期間
- 1年4ヶ月
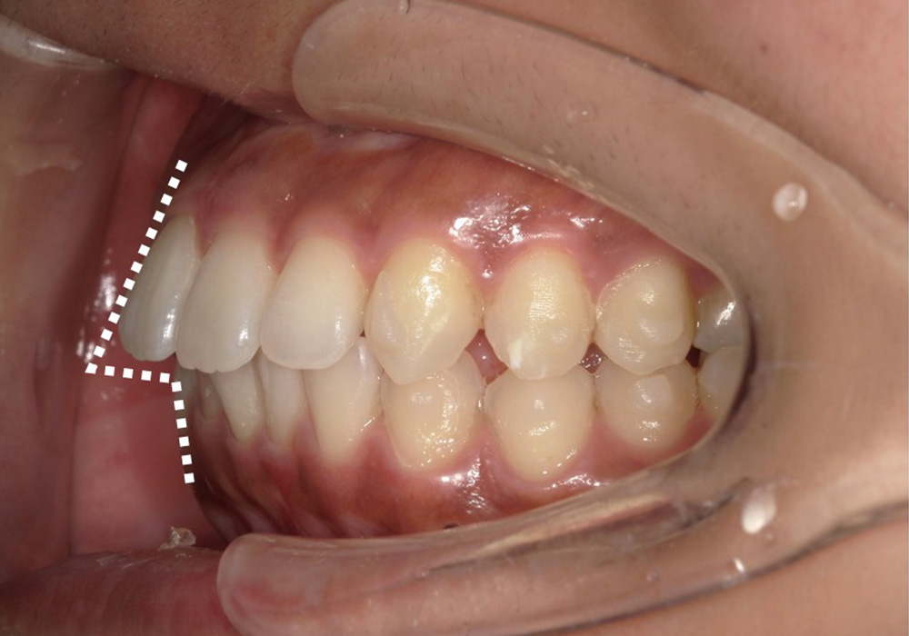
マウスピース矯正を希望した理由
20代女性、上顎前突(出っ歯)が気になる、ということでマウスピース矯正をすることになりました
- 治療方法
- インビザライン
- 治療の説明
- マウスピース矯正の前に、歯周病治療、虫歯治療を行っています。
1週間に1回マウスピースを交換して歯を少しずつ動かしました。全部で3箇所IPR(歯と歯の間を0.3ミリ削る)しました。また、アタッチメントという白いプラスチックのボタンのようなものを何箇所かの歯につけています。マウスピースは全部で46枚でした - 副作用(リスク)
- 一日20時間以上マウスピースを装置する必要があります。決められた順番と期間でマウスピースを交換しないと、予想通り歯が動かなかったり、時間がかかる場合があります。マウスピースを片手で乱暴に外すと歯を痛めることがあります
- 費用(税込)
- 精密検査:33,000円
インビザライン装置:737,880円
調整料:5500×11回=60,500円
リテーナー:45,000円
合計:876,380円 - 治療期間
- 1年5ヶ月
このような歯並び治療をする場合は
慎重に判断してください!
前歯だけの比較的安価なマウスピース矯正は症例が限られています。

奥歯の噛み合わせも治さないと後戻りしてしまうことが実際多く見られます、前歯だけ治す矯正治療で歯並びが改善できる症例は限られますので慎重に検討してください、お城の石垣は強固にするために互い違いに積み重なっています。奥歯の歯並びも上下の歯が1本の歯に対して2本の歯が噛み合ってるのが理想です、こうすることで噛み合わせが強固になり後もどりしにくくなるのです。
セラミック治療での歯並び改善は2次むし歯や歯根破折のリスクが高まります。

健康な歯を削ってセラミックをかぶせて歯並びを改善する治療は、かぶせものの隙間から2次的な虫歯になるリスクが高まるので歯の状態によってはおすすめしません、特に神経を抜くと歯が脆く経年的に割れやすくなるので、歯そのものの寿命が短くなる可能性が高くなります。
「医療法人社団 博愛会」のマウスピース矯正
初回無料相談をお申込みください
矯正治療には歯が動くまで
4ヶ月~6ヶ月かかります!
よくある質問
-
Q差し歯(被せ物)があるのですが、矯正治療で動かすことはできますか?
可能です、当院では総合的な歯科治療をしているため、最終的な歯の形も考慮して治療の提案をさせていただいておリます。
-
Q来院する際、何か必要な物はありますか?
保険証等、本人確認が取れる物をお持ちください。
-
Q現在高校生なのですが1人で来院してもいいですか?
初回は17歳以下の方は保護者同伴でお願いいたします。
-
Q歯周病(歯槽膿漏)なのですがマウスピース矯正することはできますか?
マウスピース矯正はワイヤー矯正と比較して歯にかかる力が少なく、歯周病のように多少動揺している歯を動かすことにも優れています。上下にもグラグラしていて治療が難しく既に抜かなくてはならない歯はできませんが、歯周病の治療をして残すことができる場合はマウスピース矯正で歯並びを治すことができます。歯並びが改善することで、歯石が溜まりにくくなり結果、将来的に歯周病の予防効果も期待することが出来ます。
-
Q見積もりを知りたい
お口の状況を見させていただき、無料でシミュレーションもできます。
お見積りもご用意いたしますので、お気軽にご相談ください。 -
Qインビザラインができない症状はありますか?
マウスピース矯正の中で最も歴史と業績のあるインビザラインは他のマウスピース矯正と比較して可能な症例が多く、全体の約8割以上はインビザラインで可能ですが2割り程度の重度不正咬合には向いていない場合があります。それでも不可能な場合は他の方法をご案内します。(外科矯正など、口腔外科専門医と連携しております)
-
Qマウスピース矯正ができる年齢に上限はありますか、何歳からできますか?
お口の中の状態によりますが、年齢による上限はありません。
インビザラインファーストと言って小児でも可能なインビザライン治療もあります。 -
Qマウスピース矯正で抜歯を行うことはありますか?
ケースによりますが、マウスピース矯正ではできる限り抜歯をしないという選択肢のもと治療方針を決めますが、歯列の状態によっては抜歯を行うケースがあります。
-
Q定期的に通えないのですが、治療中はどれくらいの頻度で通いますか?
マウスピース矯正は装置の調整やメンテナンスをほとんど必要としないため、必ずしも1ヶ月に1回通う必要はありません。症例にもよりますが当院では最初の3ヶ月くらいは1ヵ月、その後患者様が取り扱いに慣れていただければ約2〜3ヶ月に1回の通院をお願いしています。装着時間などのルールを必ず守っていただければ、さらにまとめて数ヶ月分のマウスピースをお渡しすることも可能です。
通院回数が従来の矯正治療よりもずっと少ないため、マウスピース矯正こそ忙しくて通院が難しいという方におすすめです。 -
Qマウスピースを装着しただけで本当に歯が動くのですか?
インビザラインのマウスピース矯正は、全世界でその治療効果が認められ、多くの特許を取得している歯列矯正システムで、コンピューター・シミュレーションによって患者様の歯並びに合わせて精密に設計・作製します。その技術は現在も進化を続けています。1つのマウスピースで動く距離は、0.15mm~0.25mm程度で、装置を約1週間に1回の頻度で次の段階のものにつけ替えていきます。マウスピース型矯正装置(アライナー)の素材であるプラスチックの弾性と矯正力を利用して歯を少しずつ移動させて目的の歯並びに仕上げていきます。
-
Qマウスピースは装着したまま食事できますか?
食事や間食の時は必ずマウスピースを取り外す必要があります。
水はマウスピースをつけたまま飲んでも問題ありません。
着色しやすい飲み物は、マウスピースの中に入ってしまい歯に色がつきやすくなります、糖分が含まれている飲み物の場合は、マウスピースの中に糖分が停滞してむし歯を発症しやすくなります。
あやまって飲んでしまった場合は、なるべく早くマウスピースを外しうがいをして、マウスピースも洗浄しましょう。 -
Qインビザライン治療はどのような人におすすめですか?
職業柄、周りに気づかれたくない、目立たないで治したい方
ワイヤー矯正だと、歯磨きがきれいにできない、虫歯や口臭が気になる方、通院が多いと大変な方、型取りの材料が苦手な方、金属アレルギーが心配な方におすすめです -
Qせっかく治療してもまた歯が元の状態に戻ってしまうのか
動かした歯を骨に定着させて後戻りを防ぐため、リテーナーというマウスピース型の保定装置を使用します。
-
Qマウスピースの手入れはどのようにしたら良いのですか?
マウスピースをお口から外したら、歯ブラシ(専用ブラシがあればベスト)の毛先を使ってやさしく汚れを取り除き、きれいに水洗いをしてください。歯ブラシで強くこすりすぎると、マウスピースが壊れてしまう可能性がありますので、軽く磨くようにしましょう。専用の洗浄剤も院内で販売しています。また、40℃を越える熱湯で洗うとマウスピースが変形する可能性があるので気をつけてください。
-
Q痛みはどれくらいあるのですか?
新しいマウスピースを装着した直後は、もしめつけられるような違和感や軽い痛みを訴える場合が多いですが、ほとんどの方が2、3日で慣れてきます。一般的なワイヤー矯正に比べてマウスピース矯正の方が痛みは少ないです。
場合によっては特定の歯や顎の関節に一時的に強い痛みが出ることもありますので、その場合は担当の歯科医師が素早く対応いたします。 -
Qマウスピースは一日何時間くらい装着が必要ですか?
基本的に1日20時間以上装着してください。装着時間が短いと効果がでにくくなり、予定通りに歯が動かないことがあります。
-
Qマウスピース矯正をしながら歯のホワイトニングもできますか?
ホームホワイトニングであればできます。矯正用のマウスピースにホワイトニングジェルをいれて装着することでホワイトニングも同時に行うことができます。ただし、歯の表面につけた物(アタッチメント)を装着している場合は、その部分のホワイトニングの効果が弱くなってしまうので、アタッチメントがない期間にするのがおすすめです、スタッフに確認してください。
-
Q治療期間はどれくらいかかるのですか?
平均的な治療期間は、保定期間を入れて1~3年ほどです。
しかし、マウスピース矯正は、コンピューターによる精密な治療計画に基づいて歯を動かすので、余計な歯の動きがありません。そのためワイヤーの装置と変わらないか、症例によっては半分くらいに早まることもあります。
「医療法人社団 博愛会」のマウスピース矯正
インビザライン治療の流れ
-
STEP1初回相談のご予約

電話、申込フォームにて、お気軽に初回相談をお申込みください。
-
STEP2初回無料相談(無料シミレーション)

口腔内の状態を診ながらヒアリングを行い、インビザラインについてメリット・デメリットなどの説明をいたします。
パノラマレントゲン撮影を行います。
口腔内3Dスキャナー『iTero element 5D』で、口腔内の3Dデータを作成して、矯正後の歯並びのシミュレーションをお見せします。 -
STEP3お見積り、治療内容説明

精密検査の結果をもとに治療計画や治療期間についてご説明します。
不安や疑問についてもお答えいたします。 -
STEP4精密検査

マウスピース矯正治療に必要な検査を行います。
口腔内診査、レントゲン撮影、口腔内・顔貌写真撮影、口腔内3Dスキャナー『iTero element 5D』で、口腔内の3Dデータを作成します。
虫歯、歯周病なども確認いたします。 -
STEP5インビザライン治療開始

完成したマウスピースをお渡しして、着用時の注意事項など装着に関するご説明をします。
マウスピースは約1週間で新しいものに変えて頂きます。
装着期間は8カ月~1年で1日22時間以上装着頂きます。
来院は1~3カ月ごとにしていただき、口腔内の診察や装置の使用状況を確認します。
食事と歯磨きの時は外して下さい。※期間は目安になります。
インビザライン治療を開始する際に、アイビー歯科クリニック、平岸駅前こまち歯科、栄町駅前こゆき歯科の3医院より、通院しやすい医院を選ぶことが出来ます。 -
STEP6保定期間

治療完了後にリテーナーを使用して後戻りを防ぎます。
保定期間は1年間就寝時につけて頂きます。(発育のため18歳くらいまでは保定期間になります)
※期間は目安になります。
「医療法人社団 博愛会」のマウスピース矯正
インビザライン治療の費用について
料金表
- 精密検査
- 口腔内のスキャニングを行い矯正後の歯並びシミュレーションを行います。
33,000円(税込)→ キャンペーン中につき、こちらが無料になります! - インビザラインiGO
- 大臼歯を動かさず、前歯のみ歯列矯正に特化した矯正治療
・前歯のみ治したい方
・矯正の後戻りを治したい方
455,000円(税込) - インビザライン
- 大臼歯(奥歯)を含めてすべての歯を動かす矯正治療
833,000円(税込) - リテーナー(保定装置)
- 保定期間に装着する後戻り防止装置
45,000円(税込) - 調整料
- 矯正期間中(原則1か月に1回)の装置の調整
5,500円(税込)
医療費控除について
上記の矯正治療費から医療費控除の制度を利用することで
15%〜55%安くなります!
医療費控除は1年間の所得や支払った医療費に応じて還付金が変動します。
当院の矯正治療は噛み合わせを考慮し治療しますので、
全ての患者様で医療費控除の対象となります。
例えば・・・所得400万円の人が70万円のマウスピース治療を行ったとき
手続きやその他詳細につきましては、
お住まいの管轄の税務署へお問合せください。
お支払い方法
- 現金払い
- 現金の場合は受付にて対応いたします。
- クレジットカード払い
- クレジットカードでもお支払い可能です。
(JCB、アメックス、ダイナースクラブ、VISA、マスターカード、DISCOVER、UC) - デンタルローン
- デンタルローンをご用意しております。
分割回数:最大96回
分割払いまたはボーナス併用払い
年3.8%~年8.8%※2022年7月1日現在
例えば…矯正治療費73万円を7年(ボーナス払いなし)=約10,000円
※金利はローン会社の審査で決定されます。
「医療法人社団 博愛会」
歯科医院のご紹介
南平岸グラーノデンタル

- 住所
- 〒062-0933 札幌市豊平区平岸3条13丁目6-1
イオン南平岸店2F - 電話番号
- 011-376-5606
| 月 | 火 | 水 | 木 | 金 | 土 | 日 | 祝 | |
|---|---|---|---|---|---|---|---|---|
| 9:00~13:00 | ● | ● | ● | ● | ● | ▲ | / | / |
| 14:00~18:00 | ● | ● | ● | ● | ● | ▲ | / | / |
院長 小池 俊貴
【略歴】
- 北海道大学歯学部 卒業
- 北海道大学病院クラウン・ブリッジ歯科 研修
- アイビー歯科クリニック 勤務
- 南平岸グラーノデンタル 院長
【所属学会等】
- 北海道大学病院クラウン・ブリッジ歯科 客員臨床助教
栄町駅前こゆき歯科

- 住所
- 〒007-0842 札幌市東区北42条東16-1-5
イオン札幌栄町店2F - 交通アクセス
- 栄町駅2番出口直結イオン札幌栄町店2F
- 電話番号
- 011-780-3001
| 月 | 火 | 水 | 木 | 金 | 土 | 日 | 祝 | |
|---|---|---|---|---|---|---|---|---|
| 9:00~13:00 | ● | ● | / | ● | ● | ▲ | ▲ | / |
| 14:00~18:00 | ● | ● | / | ● | ● | ▲ | ▲ | / |
院長 西潟 健太
【略歴】
- 北海道大学歯学部卒
- アイビー歯科クリニック勤務
- 栄町駅前こゆき歯科院長
【所属学会等】
- 日本口腔インプラント学会 所属
- 日本臨床歯科CAD/CAM学会所属
- 北海道形成歯科研究会 所属
アイビー歯科クリニック

- 住所
- 〒062-0934 札幌市豊平区平岸4条13丁目3-20
ラ・クラッセ南平岸ステーションタワー1F - 交通アクセス
- 南平岸駅東口目の前
- 電話番号
- 011-837-0648
| 月 | 火 | 水 | 木 | 金 | 土 | 日 | 祝 | |
|---|---|---|---|---|---|---|---|---|
| 9:00~13:00 | ● | ● | / | ● | ● | ▲ | ▲ | / |
| 14:00~18:00 | ● | ● | / | ● | ● | ▲ | ▲ | / |
理事長 今井 崇博
【略歴】
- 北海道大学歯学部卒
- アイビー歯科クリニック開業
- 平岸駅前こまち歯科開業
- 栄町駅前こゆき歯科開業
- 南平岸グラーノデンタル開業
【所属学会等】
- インビザライン認定ドクター
- 日本歯周病学会 会員
- 日本ヘルスケア学会 会員
- 日本口腔インプラント学会 専修医
- 日本アンチエイジング歯科学会認定医
- 歯科医師臨床研修指導医
- 札幌市立平岸中学校学校医
平岸駅前こまち歯科

- 住所
- 〒062-0933 札幌市豊平区平岸3条8-1-28
クリフサイドビル2F - 交通アクセス
- 平岸駅3番出口徒歩1分ケンタッキー隣
- 電話番号
- 011-887-0002
| 月 | 火 | 水 | 木 | 金 | 土 | 日 | 祝 | |
|---|---|---|---|---|---|---|---|---|
| 9:00~13:00 | ● | ● | ● | ● | ● | ▲ | / | / |
| 14:00~18:00 | ● | ● | ● | ● | ● | ▲ | / | / |
院長 鈴木 豪
【略歴】
- 東京歯科大学 卒業
- アイビー歯科クリニック勤務
- 平岸駅前こまち歯科勤務
【所属学会等】
- 日本スポーツ歯科医学会
- 日本口腔インプラント学会








